Something Is Wrong
Today is World Cancer Day, and that seemed as good a time as any to dive into things that – I confess – are a little hard to talk about in a family-friendly way. This post is long, and it isn’t very funny. There’s a disclaimer at the end of this post that I ask you to please read and consider, too.
I turned 25 in the spring of 2010. 24 had been a whirlwind of life lessons and a broken heart, and just enough time had passed since the hurt that I felt like I was getting my feet back under me. I was ready for 25 – ready for the thrill of quarter life crises and the ability to finally rent a car on my travels. I felt distanced from the emotion rollercoaster of youth, because I was 25, and therefore certain I was no longer subjected to the whims of being young.*
*Yes. I know. I was a pretty ridiculous 25 year old.
I was spoiled rotten on my birthday by friends and family alike. It was incredible. It was sweet. But I noticed that with the emotional distance that I first attributed to maturity, I wasn’t able to get very excited about anything. Happiness was measured. Excitement was more of a theory than a real experience.
I blamed the tendency towards depression that runs in my family. Things continued on. My mom and I did yoga together.
And I started to complain that lying on my back at the end of class was uncomfortable. It felt like something was pressing on my chest. So I went to see a doctor.
Nothing to worry about, of course. And when I noticed that by early summer, it sounded funny when I coughed, I went back to the doctor.
So it went. My cough stayed sounding funny, no matter what decongestants or allergy medicines I tried. I went back to the doctor, and was told it was acid reflux. I was given more medicine, which I tried. It didn’t change anything, except how much money I was spending at the pharmacy. I went back again, and was told it was allergies. New allergy medicines were ordered. And so the pattern went.
That summer, word came (quietly, because that’s how these things go), that my brother was up to be deployed, which is what happens to fancy military officers during wars. So I hauled off** to visit him and his family before he went, so we could spend a little time together before his mandatory year of desert.
**To Texas!
While I was there, we ate quite probably entire cows’ worth of barbecue. My brother introduced me to the magic of the soy latte. My sister-in-law made killer food. I snuggled my tiny year-and-a-half old niece at every possible opportunity.
And, of course, my brother and I wrestled and rough-housed like we were attempting to murder each other.
That’s when I started to cough for real. I coughed so hard my eyes watered. I couldn’t breathe. I’d duck into other rooms to try and get myself together. All I could think, as I climbed back on the plane, was about those whooping cough “you’re going to kill your baby” ads.
I was sure I’d given my tiny, precious, adorable niece whooping cough, and I was practically in a panic. So the day after I got home, I forewent all other doctors, and demanded to see my specific doctor. I waited for hours in the waiting room, working on work assignments, until she could call me in. She listened to my worry about whooping cough – it’d gone around my office the year before and I hadn’t been recently vaccinated. She drew blood. She gave me a breath test. She sent me off for my very first x-ray ever.
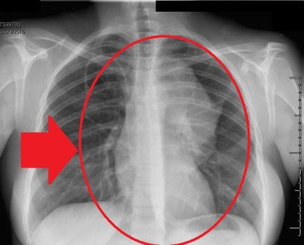
And she came back in to the exam room faster than I have ever seen a doctor return after tests. Her face was very still, but her eyes were very shiny and sharp. She smiled, and it was stiff. I was confused as she held up the X-ray to show me a large cloudy spot, larger than my entire hand, showing across my chest.
She reassured me it might be nothing, but she also told me I had to go get a CT scan. I asked when that would be scheduled – sometime during the next week? With her smile still frozen on her face, she told me she’d already scheduled it, and I had to go to the imaging lab down the road right now. Not that there was anything to worry about or anything. I just had to go. Now. And after the CT scan was done, I would need to come back.
So, more than a little perplexed at this point, I climbed in my car, drove down the road, and got to the imaging lab.
Where a technician was waiting for me.
At the front door.
I didn’t have to wait. I was walked through an overflowing waiting room into the CT scanning room. I got my first ever CT scan on the same day I got my first ever X-ray. It felt funny, with contrast dye running through my veins and stars painted on the ceiling over my head. As soon as I was done, I was walked back out the front door and reminded to go directly back to my doctor’s office.
So I did.
As I sat in an exam room in the back of my doctor’s office, alone, I wondered what was going on. I remember thinking one thing to myself:

Honest and truly. This was my exact thought, sitting there in the quiet, under the fluorescent lights.
I didn’t really think it was funny, actually.
I had been at the doctor’s office for 8 hours. It was 6:30 at night before she came into the exam room I was waiting in.
Because she wanted to make sure everyone else had been seen and sent home. So she could talk to me.

I feel a little bit like a harlot, exposing so much of myself to the Internet.
I’m only letting you see my insides for science.
This is a disclaimer, because I want every reader to understand one thing: This is MY story and MY experience. I’ve worked very hard for years to filter it through my brain for others, so it’s not just harsh feelings and fear. Every single person who goes through cancer lives through a different and unique experience. Just because this is how it happened to me does not mean someone you know with cancer will feel any of the same things or behave the same way. One of the biggest pet peeves of any survivor I know is this: “Oh, well, my cousin/friend/distant acquaintance also had <insert type of cancer> and he/she is TOTALLY fine.” That doesn’t make us feel better, and I sincerely doubt it’s even true.
Please just remember – we’re all different people, and how we handle the various diseases that fall under the cancer umbrella will always be unique.








What a beautiful piece. Thank you for sharing.
Thanks. I feel a little bit like it’s the first Hobbit movie. “Nothing really happens, but it’s pretty important to the story.” Thank YOU for reading.
I love you! Also– for the bit of humor in this:
I want a doctor to take your picture
So I can look at you from inside as well
source: http://www.lyricsondemand.com/onehitwonders/turningjapaneselyrics.html
That is my new favorite song, and also, probably something I will sing to people.
I ❤ you. And you get to be a doodle in the next part of this story.
Oh just wait… I know I’m in the follow up… if anything because of the bacon.
Ha! You should see my practice doodles of you. I forgot to show them to you on Sunday.
Holy cow! Those rads are no bueno! I’m glad you’re all better and congrats for beating out that dirty disease! Ps I like the picture of your insides. You have a beautiful clavicle 😉
Thanks! I take pride in my sweet, sweet clavicle. I mean, it takes a lot of time at the…uh…gym….or something, but it’s so worth it.
good grief!! this is terrifying!!
and you are completely right, your experience is yours and whatever experience someone else has does not change it or make it better or worse!
I get angry when people try to tell me (or someone else) how to feel based on something that happened to them or someone they know.
For the record, I have no idea at all what you felt like and have no comprehension at all of how horrible it was. I know you have managed to tell a very scary story in an engaging way and are very courageous to do so!
Thanks! I’m so grateful for the reads, and the support. It’s become a major pet peeve – throughout all my treatments and time, so many people told me about all the people they knew or had heard of, who’d had my type of cancer and were now “totally fine.”
Honestly, it just made me think “so, what if this kills me? Does that make me a giant wuss?”
Thank you, sincerely, for the thoughts and encouragement. It really does mean a lot!
people say what they think is helpful and encouraging…
they are normally wrong!
It is one of my peeves too… that and the “its all relative…so and so had a worse thing happen” that doesn’t make anything better
I am trying hard not to rant
Heehee. Me too. That’s a severely edited disclaimer. Annnddd there may be a rant about this sort of stuff in the blog-post works 😉 so we’re in good company together.
😀 I did a rant post in one of my (currently dormant) blogs… I should see if I can find it…
Ooo! Do! I’m going to go look for it right now – but link it here, too! 🙂
Thanks!
What an experience to go through. Thank you for sharing your story.
I love your disclaimer. I haven’t been through something of this magnitude, but it’s just common sense that people and their experiences are all different…or at least, it should be common sense.
Thank you <3. I discovered the only way I can share it is in pieces, so this was probably the longest-in-progress post I've written. I'm going to try and space them out, because I like sharing smiles more than sad things 🙂
I wish your kind of thoughtfulness was more common. I know people struggle with what to say, but there are some times where it's ok to just not say something and be there for someone instead.
Exactly. I saw this with my son’s mental health struggles. I think people meant well, they really did, but for things as serious as what he was going through (and what you went through with cancer), best to err on the side of quiet (not to be confused with absent either)..
I’m a big fan of “seriously. Just give me a hug. It’s easier for both of us, as definitely the best thing ever.”
What a struggle. That must be so difficult to see with your child, too. I mean. I can’t know, but I can try to imagine.
So, HUG!
((HUG))
I really like your comments about everyone’s cancer journey being different. I think it’s helpful to know others who’ve been down the road, but unhelpful to assume the road is the SAME for everyone. Great points.
I’m so sorry you had to (or is it ongoing?) go through this. Kudos for sharing the journey with your readers!
Thank you so much – for reading and commenting thoughtfully.
Not to ruin the suspense or anything (ha!), but I’m officially a survivor, with regular checkups and No Evidence of Disease, which is kind of the best thing over.
Not “kind of” – DEFINITELY! 😀 Thanks for letting me in on the end. I don’t like that kind of suspense, if you know what I mean?
Great start to your blog! I can completely identify….no 2 people’s experiences of cancer are the same…everyones situations are different. I had no idea it was ‘world cancer day’ how strange I just created my first post today also on a similar subject….mines on reflections.
I’ll have to check it out. Can’t wait to read it!
Wow, I originally began following your blog because I love your sense of humor. You bring a smile to me every post I read, AND because your stick figure drawings are proof that even someone like me who can only draw a stick figure (and poorly at that) could move people with art if I wanted to.
Love and light to you. You are now also an inspiration to me besides a great humorist and artist. 😀
Thank you so much! 🙂 You make me blush, and I appreciate the support in so many ways – and I appreciate the follows!
You are so amazing, Cait. Thank you for allowing us to walk through your experience with you and again sharing even more. Your story is beautiful, especially that you have a happy ending, but your disclaimer is so important too. It opened my eyes a bit.
Thank you Aunt Barb! ❤ I love you SO much. I am so lucky to have such incredible, supportive family (especially the kind that are more than happy to adopt me and feed me and entertain me when I run away to California periodically.)
Wish you would run away to Cali again soon! It’s much warmer here, you know!
I need to! I miss you guys, and I’m so homesick for the Pacific!
Pingback: Burr, Wet, Cold, Merp, Merp, Merp | Blundering through life like a bull in a China shop...or sometimes a ninja.
Thank you for sharing your story.
Thanks for reading! 🙂
Amazing. Truly.
And different life context but I can relate to the people thinking they know what you want/need to hear thing.
Hugs are much better, and I send a virtual one to you.
Thank you 🙂 It’s much appreciated.
You are awesome for sharing this! I don’t think I can fairly say that I could identify with what you went through. But to openly share your experience is so courageous of you. You’re an inspiration! Awesome sauce.
Thank you so much! 🙂 That’s very sweet to say. There’s always part of me that’s like “Ok, now make it FUNNY.” But that’s just not happening today 😉
And that’s okay, can’t blame you. It’s more relatable when you’re honest about what it’s like. Otherwise, kind of a slap in the face of others experiencing it too.
This was really beautiful to read
Thank you 🙂
I hate cancer so bad. It makes me furious (that’s a word we are learning this week in Kindergarten.) You are fantastic for sharing your story. I am on the edge of my seat now.
That is quite possibly the best word ever to teach kindergartners. In part because I am now just picturing adorable five year olds with really, really angry faces. And that made my day 🙂
Ha! It is quite entertaining. Farmer Brown is furious because the cows are asking for electric blankets. Click, Clack, Moo. We also learned what “to go on strike”, neutral, and ultimatum mean. Art & Literacy make me happy!
…I so, so want to be a fly on the wall in your class. Or a student. Because that’s awesome!
You are a great story teller. I’m sorry you have this story to tell.
Thank you 🙂 I’m just glad I have people in my life who encourage me to share it! Thank you for taking part in that and reading.
You know I love you, right?! I’m heartbroken to read this, but I know that you will be fine ❤ Right now you should have the same feeling as that time when I was throwing imaginary confetti at you the other time, because this time I'm sending you many many hugs! JTM!
xoxo
Olena
❤ I love you and the imaginary confetti you throw on my life. I was literally thinking of just that when I was running the other day – "make it to the end! Make it to the end for imaginary confetti!"
Yay! ❤
You make some excellent observations. Thanks for sharing this.
Thanks for reading!
Even though this is in no way a laughing matter, I admire the way you still wrote it using your quirky humor. You are very brave for sharing your story.
Thank you for reading – and for the compliment!
Thanks for writing this piece – I’m sure it will be majorly helpful to more people than you probably imagine. You continue to be in my thoughts and prayers, and I send all good wishes and vibes at you (and your most excellent family, too). Keep well! Much love, JP (formerly D.V.)
Thank you JP (forever D.V. to me!) I appreciate the good wishes, and also the fact that your life lessons (from Life 101) are what originally inspired me to keep track of the life lessons in my life!
I hope this does help others, because writing it is also helping me. I am so lucky to have people willing to share in my story!
I’m glad you encountered such nice people, who took your plight seriously. My friend had an aneurysm and his road to recovery had a lot of wonderful doctors, but some pretty terrible doctors too.
That’s one of the biggest challenges. Finding the right doctors who will listen to you and take you seriously is a big deal. Like I implied – I’d actually been to see a large number of doctors before my actual General Practitioner took me under her wing. From R.N.s to cardiologists, it’s easy to write off symptoms as insignificant..until you find the doctor who takes you seriously enough to identify them as significant.
I’m glad your friend is on the road to recovery, and he’s found some wonderful doctors on the way.
Thank you for sharing 🙂
Thank you very much for making my day. I really enjoyed that post. How did the party go?
Bad WordPress-App. That was the wrong article. ;( erm… that’s a little embarrassing so I am now asking you to think of some cute baby rabbit to distract from my lack of using the interwebs correctly. (Shoot! Where are these gaping black holes when you need one? )
Don’t worry – the app gets me too. Also, this made me laugh because I completely knew which post you were talking about.
The party went fantastically. And, contextually speaking, there have been lots of parties along the cancer-y road, and those went pretty great too.
Ooo! Lookit the bunny!
Oh great, the bunny worked. Pheww.
Yay! I love, love your blog!
Thank you!! 🙂
Well that was certainly a day. You always want speedier service in a medical setting, until you get that speedy service, and then you immediately wish that you were sitting back in the waiting room with everyone else.
I hate that you went through this. HATE IT. But I do look forward to reading about how it all turned out since you’re obviously still here and kicking ass every damn day.
🙂 Thanks! You are so, so right about the speed of medicine. It’s directly inverted based on how important the situation is.
Tiny cold? WHY AREN”T YOU SEEING ME NOW?!
Weird symptom? HOLY CRAP WHY ARE YOU SEEING ME SO FAST?
Pingback: So One Time I Discovered I Had Cancer: Part 2 | Perpetual Plot Hole